こんにちは!
2025/12/11
こんにちは!
今日は当院に約4年ほど前から通院してる患者さんの症例写真をお見せします👀✨
7歳から定期検診に通っているのですが10歳を越えたあたりでお母さんから「全然歯磨きをしてくれないのでちゃんと歯を磨くよう歯医者さんからも言ってください💦」との申し出がありました🧐
時系列順に口腔内写真をスライドに載せますのでご覧下さい📸
お母さんの申し出通り、ここ一年の写真を見ると歯の汚れが顕著なのが分かります🧐
お子さんは成長と共に仕上げ磨きを嫌がったり自分で磨くと言い出す事が多く、その場合どうしても汚れが取り切れず残ってる事が多いのです🥲
しかし、反抗期の影響もある為、無理に仕上げ磨きを強制することは効果的で無い事が多く、その場合重要になるのが歯医者への通院と本人の歯磨きへの意識改革です🦷
お母さんの居ない診療室で衛生士さんやドクターから汚れの場所を指摘され、鏡で一緒に確認し、自分で上手く磨けるよう指導されると案外すんなり聞き入れてくれることが多いのです🤭
更に染め出しを行い、「磨けてると思ってたけどこんなに汚れが残ってるんだ!」と認識を持ってもらう事も大切です👀
次に写真の説明です📸
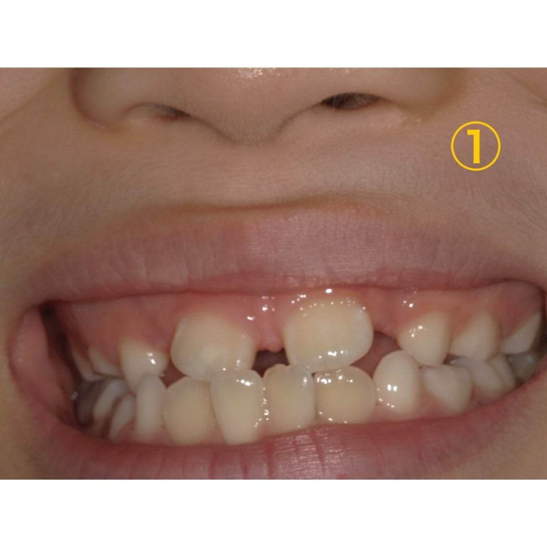
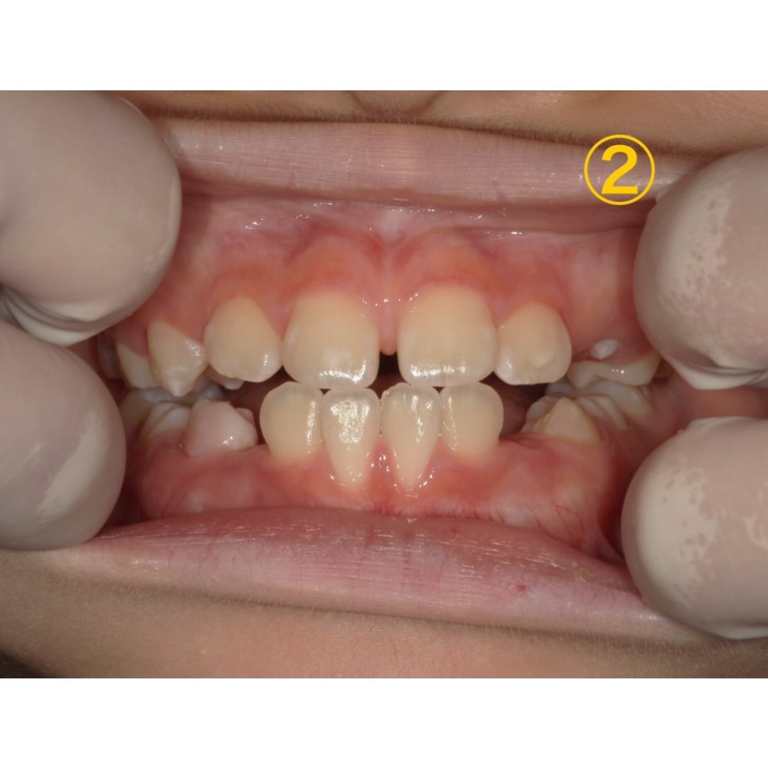
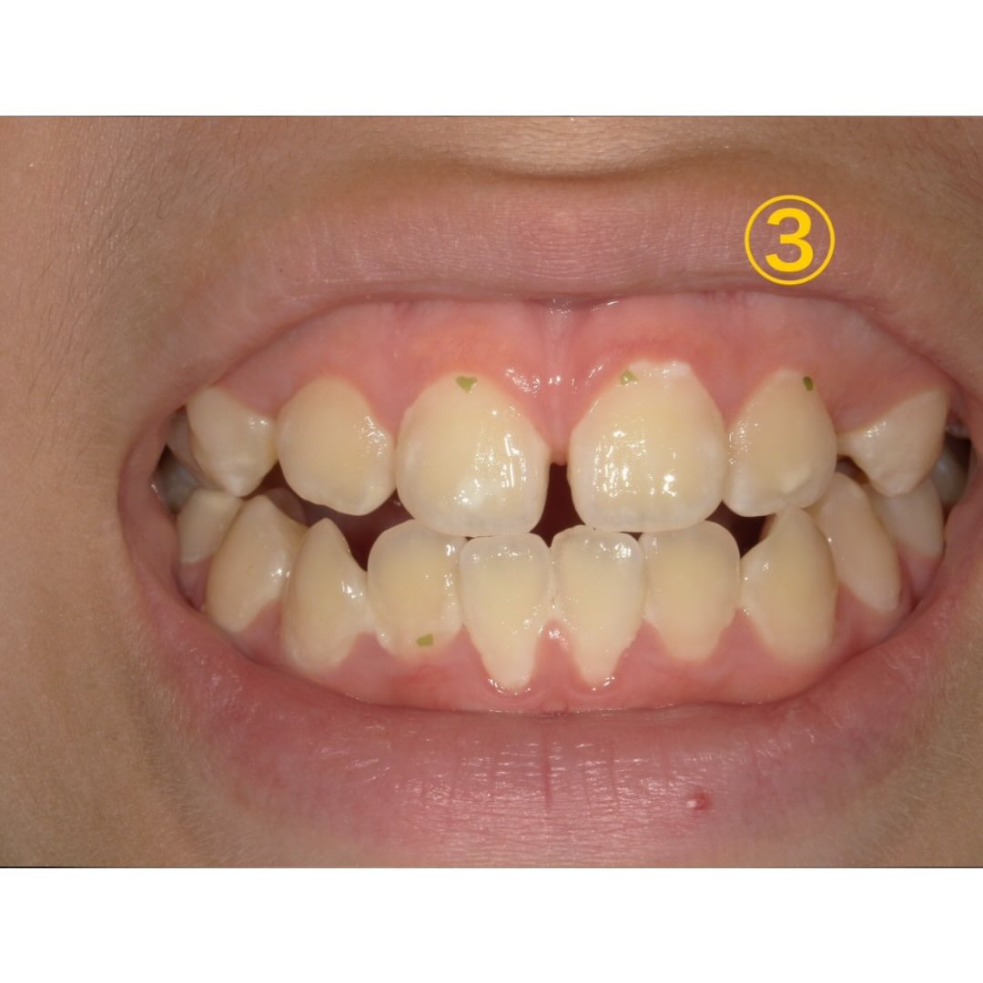
時系列順に①〜⑥に並べました。
①〜③は1年ごとの1番変化が分かる写真を抜粋しました。
特に変化がなくても記録の為口腔内写真は頻繁に撮影しているのですが、④⑤⑥は毎月写真を撮りました。
①、②の時は特に目立った汚れもなく生え変わりもあるので3ヶ月に1回定期検診を行っていました。
しかし、③の写真をご覧下さい。
汚れの量が一気に増えたのが分かります🔎
この時期から仕上げ磨きはせずに自分で歯磨きをするようになったそうです。
食べ物も着いていたので歯を磨いてるか確認した所、忙しくて磨いてない!との事でした🥲
この時は珍しくあまり治療に協力的では無く、染め出しも行えず、しっかり磨くことを伝え経過を見ることにしました👀
そして次が④です。(写真間隔は1年あいてますがその間も定期検診にはきちんと来院していた為、清掃指導と清掃は行っております)
更に汚れが増えているのが分かります。
この時は治療に協力的だった為、染め出し、歯磨き指導を徹底し、本人の同意を得れた為3ヶ月毎の定期検診を1ヶ月に短縮し、毎月染め出しをする事にしました!
そして1ヶ月後の⑤、その1ヶ月後の⑥です✨
かなり改善したのが分かると思います✨
染め出しは診察時間が少し長くなる為付き添いの親御さんの負担は少し増えるかもしれません🥲
しかし、視覚的な効果は大きい為、清掃性の改善に期待できます🪥
また定期的に分かりやすい症例写真がありましたらアップしますね😊
気になる方は是非ご相談ください😊
それでは👋
#小竹向原駅#板橋区#予防歯科 #小児歯科#歯医者









