歯ぎしり・食いしばり していませんか?
2025/11/13
歯ぎしり・食いしばり していませんか?
最近患者さんから相談される事の多い、歯ぎしり・食いしばりについて今回は症例画像と共に紹介します☝️
ご家族から、就寝中の歯ぎしりを指摘された経験のある方は多いのではないでしょうか?
歯ぎしりや食いしばりの原因ははっきりとしておらず、精神的ストレスや歯並びが原因ではないかと言われています🧐
また、集中している際に食いしばりが生じている方も多いようです。
通常、上下の歯はリラックスしている時は触れ合っていません。
これは、安静空隙といって、上下の歯と歯の間に約2ミリ程度のスペースがあります。
しかし、歯ぎしりや食いしばりがみられる方は、口の周囲の筋肉が常に緊張しており、このスペースがほとんど見られなく、何もしていない際にも歯と歯が触れ合っている(噛み合っている)状態になっている事があります。
その為歯ぎしりや食いしばりは筋肉の緊張や疲労により頭痛や肩こり等全身のさまざまな症状を引き起こすことがあるのです🥲
寝ている間に歯ぎしり食いしばりをしているかは自分では判断できませんよね🧐
簡単なセルフチェックとして
①エラが張っている
②起床時、顎のだるさがある
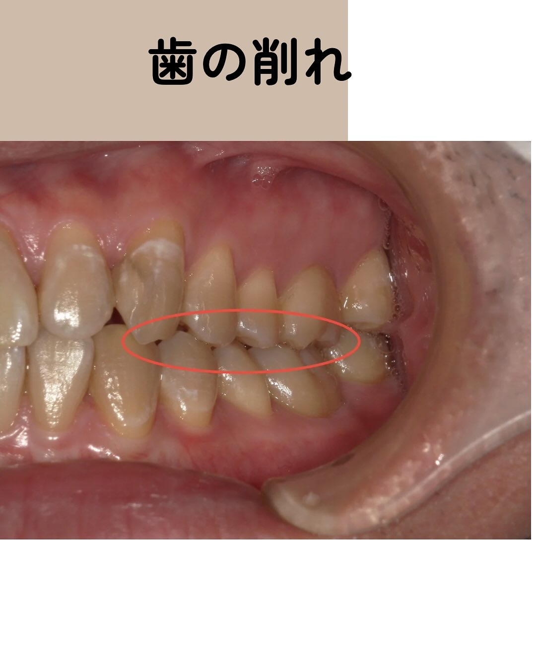
③犬歯やその奥の小臼歯の先端が削れている
④頬にスジ状の隆起がある
⑤舌の側面に歯の跡がついている
⑥無意識に上下の歯同士が触れている
以上が簡単にご自身で確認できるポイントとして挙げられます。
③、④、⑤に関しては当院の患者さんの症例画像をお見せします👀
③は主に就寝時の歯ぎしりにより生じ、歯同士の擦れ合いによるものです👀
④、⑤は筋肉の緊張により、頬や舌が歯に押し付けられる事で生じる特徴的な跡になります。
是非セルフチェックしてみて下さい✨
歯ぎしり食いしばりのお悩みには保険適応でマウスピースを作成するケースが多いですが、歯ぎしり食いしばり自体を無くす治療法ではなく、歯が削れるのを守る物としてお考え下さい☝️
何かわからない事がありましたら是非ご相談ください😊✨
それでは👋
#小竹向原 #小竹向原駅 #板橋 #板橋区 #小茂根 #向原 #大谷口 #板橋区歯医者 #練馬区歯医者 #歯科医 #歯医者 #歯科#根管治療 #小児歯科 #歯周病 #歯周病専門医 #口腔外科 #予防歯科 #フッ素 #訪問診療 #ホワイトニング #虫歯 #抜歯#歯ぎしり#食いしばり










