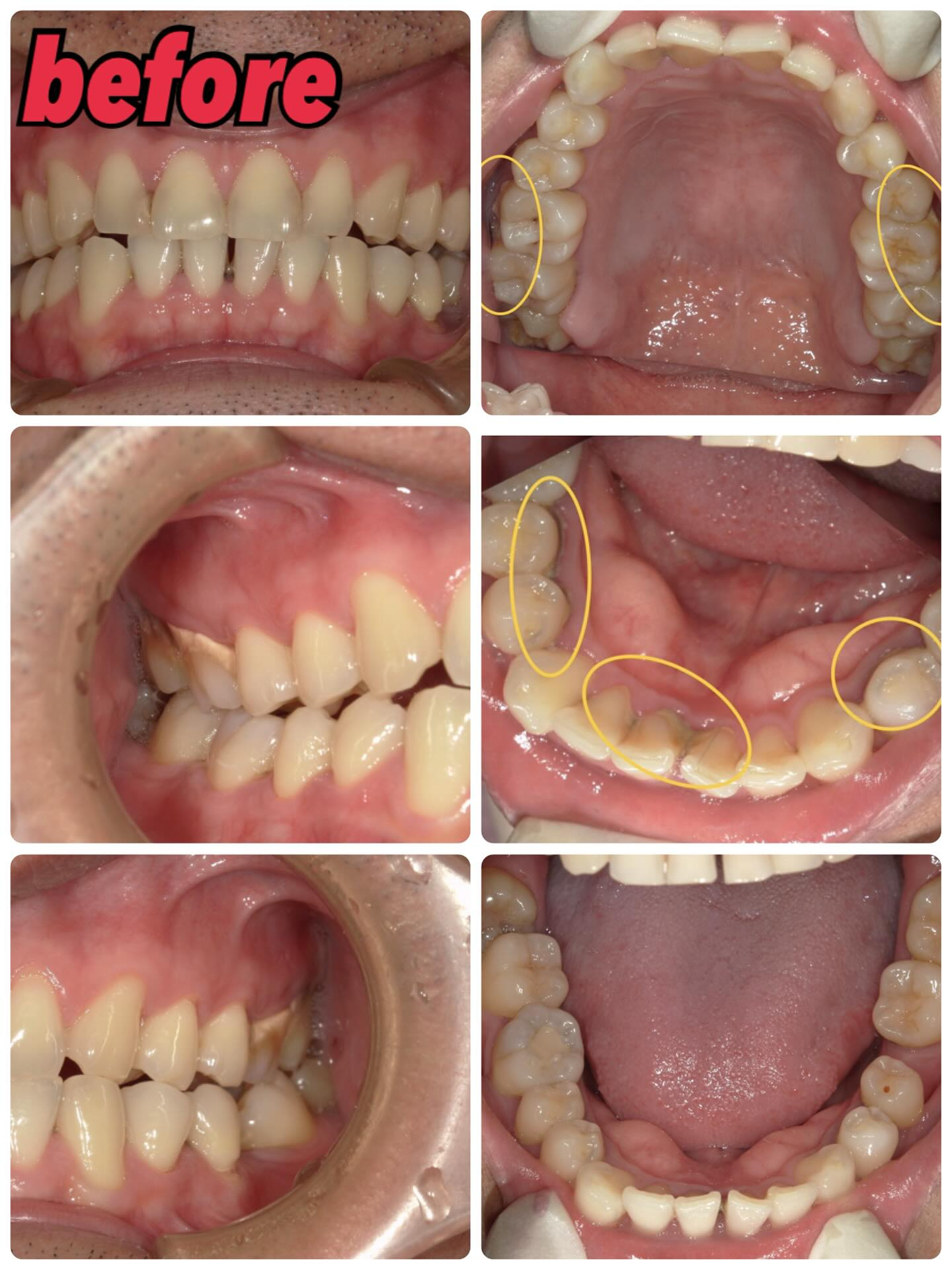
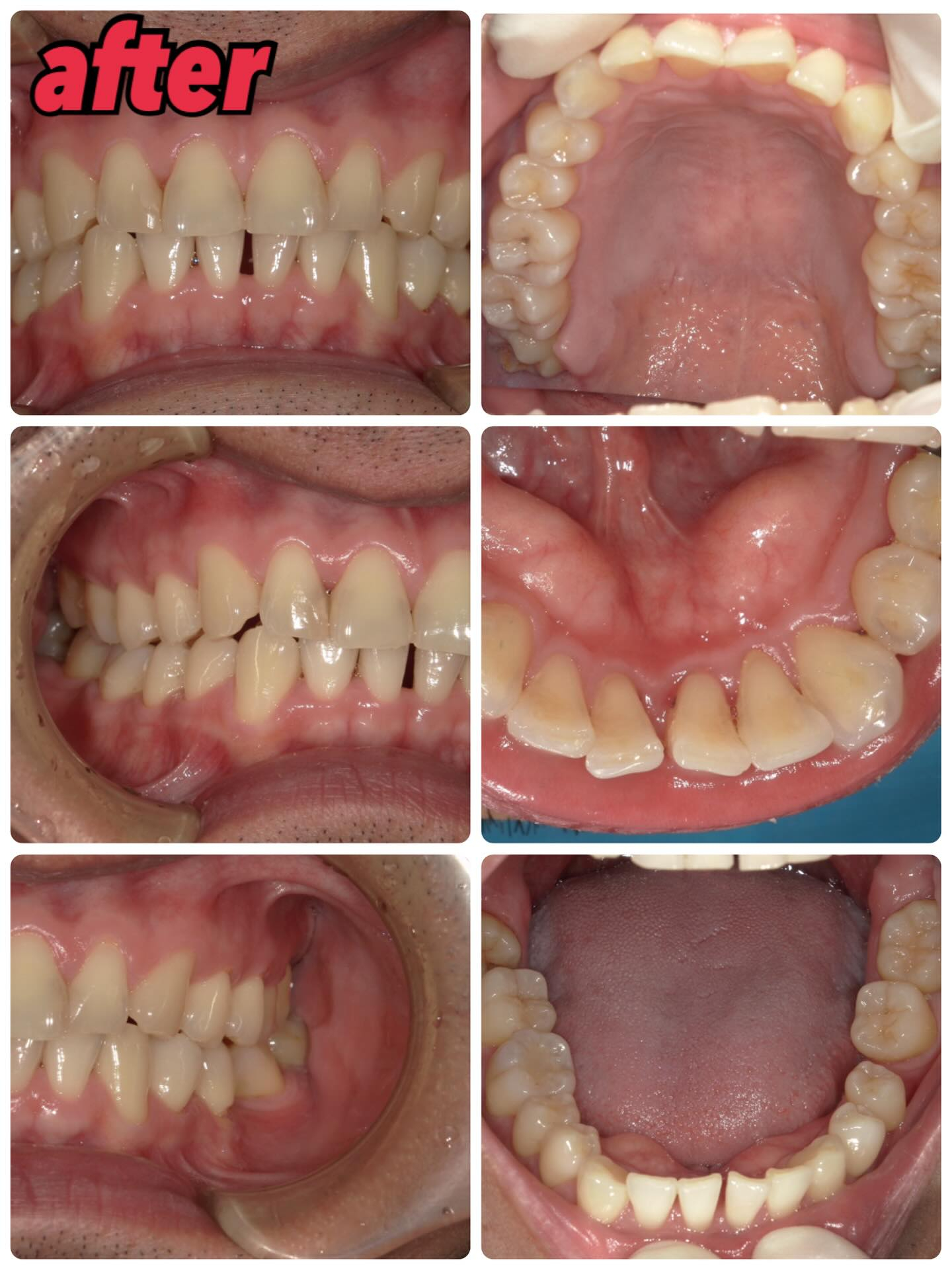
歯石除去前、除去後、除去した歯石の写真です📸☝️
2025/09/26
歯石除去前、除去後、除去した歯石の写真です📸☝️
この前歯石に関しては投稿してるので併せて見ていただけたらと思います🧐
この方は歯の表面にも歯石が着いており、虫歯の確認をする以前に、まず歯石除去を徹底的に行い、歯周病治療を行いました💉
歯石沈着が強いと歯肉も腫れ、その事から虫歯の発見が難しい事があります👀
是非ご相談ください✨
#小竹向原 #小竹向原駅 #板橋 #板橋区 #小茂根 #向原 #大谷口 #板橋区歯医者 #練馬区歯医者 #歯科医 #歯医者 #歯科#根管治療 #小児歯科 #歯周病 #歯周病専門医 #口腔外科 #予防歯科 #フッ素 #訪問診療 #ホワイトニング #虫歯 #抜歯#歯石






