今回は歯科治療の基本、歯磨き指導の相互実習風景をお見せします...
2025/07/30
今回は歯科治療の基本、歯磨き指導の相互実習風景をお見せします👀!
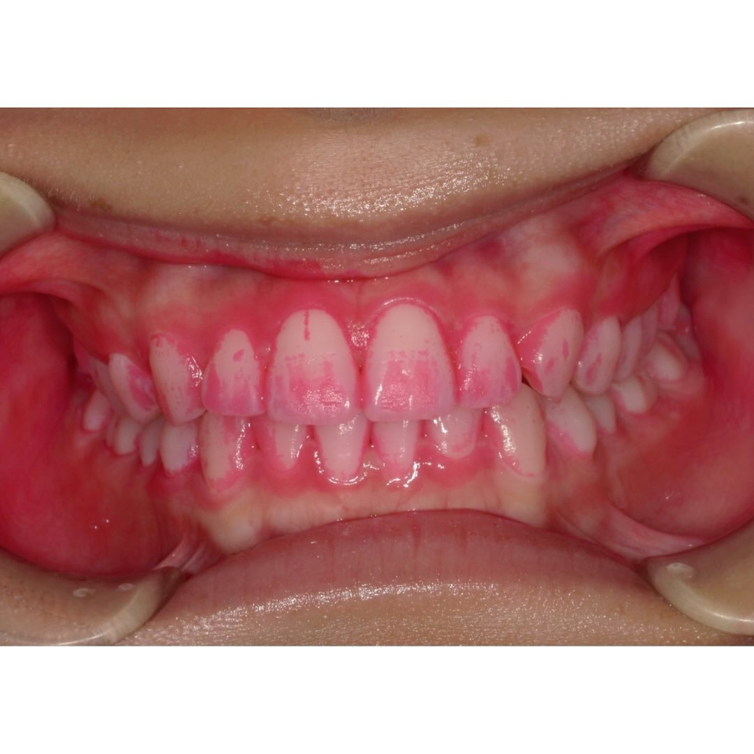
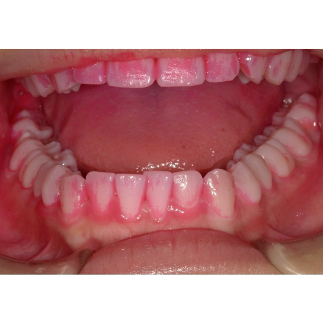
スタッフにはお昼ご飯を食べた後歯磨きを控えてもらい汚れの染め出しを行いました🪥✨
自分で歯磨きをした後、磨き残しを衛生士さん指導のもとお掃除していきました✋
同じ職場に居ても衛生士さん同士、他の衛生士さんが患者さんにどのように指導しているのか、しっかり見たり聞いたりする機会は少ない為、ここはもう少しこうしたら良いんじゃない?こう説明すれば分かりやすいかも…!等色々意見交換をしていました✍️!
どんなに治療を受けても、ご自宅での口腔ケアがしっかり出来ていないと続々と虫歯は出来てしまいます🥲
その為にも口腔ケアはとても重要であり、歯科衛生士さんはその分野のプロフェッショナルです🦷✨✨
歯磨きに自信が無い方や長年虫歯で悩んでる方、何となく歯医者から足が遠のいている方、フロスや歯磨きを頑張っているはずなのに虫歯ができてしまう方etc…!
是非1度ご相談下さい😊✨
#小竹向原 #小竹向原駅 #板橋 #板橋区 #小茂根 #向原 #大谷口 #板橋区歯医者 #練馬区歯医者 #歯科医 #歯医者 #歯科#根管治療 #小児歯科 #歯周病 #歯周病専門医 #口腔外科 #予防歯科 #フッ素 #訪問診療 #ホワイトニング #虫歯 #抜歯#TBI練習#tbi









