骨支持が不足している事により抜歯に至ったケースを紹介します🦷
2025/10/23
骨支持が不足している事により抜歯に至ったケースを紹介します🦷
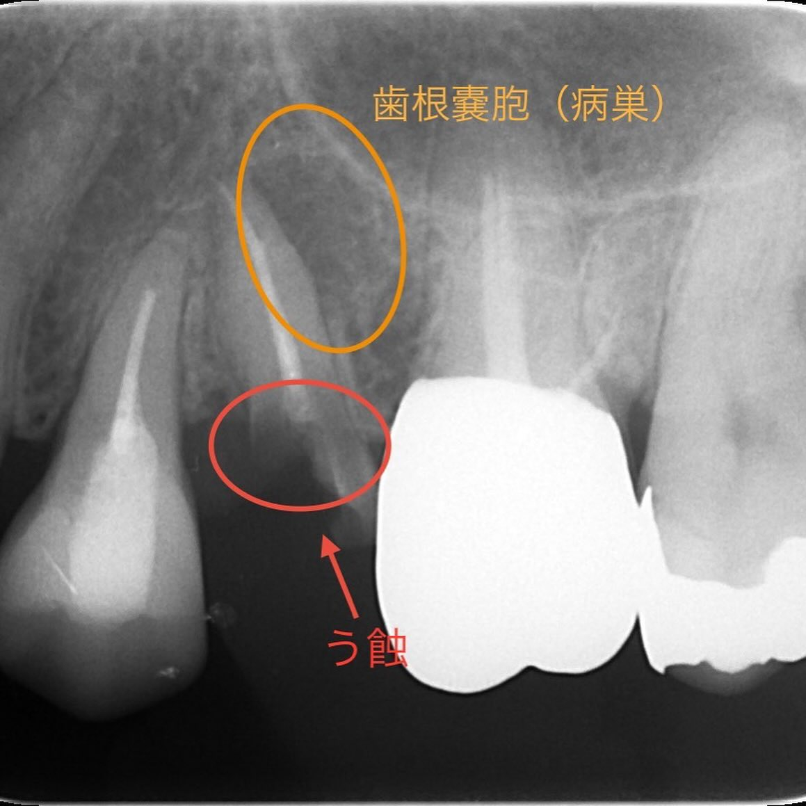
レントゲン写真を見て頂くと、歯根の先端付近に黒い影がありますよね(オレンジの〇)🔎
これは歯根嚢胞と言う病巣で、この病巣が原因で歯を支える骨が吸収していました。
この嚢胞の大きさから、破折が起きている可能性も予想されます。
また、赤〇で囲んだ所は虫歯になっており歯の頭の部分が欠損している状態でした🥲
歯肉の内部深くに虫歯が進行しておりそもそも虫歯を取りきることが出来ない事、嚢胞の存在から補綴治療(歯の被せ物)に進んでも予後が悪いと判断しました✍️
ピンセットでこの歯を触ってみると既に動揺もあり、抜歯する事となりました。
抜歯した歯には破折線もあり、レントゲン写真ではハッキリとは写ってませんでしたが破折が原因で歯根嚢胞が生じていた可能性があります🧐
とても綺麗に嚢胞ごと取れたのでお見せします📸
抜歯の傷が治り次第、当該部位の補綴治療に進む予定です✍️
また分かりやすい症例があったら紹介しますね✋
それでは👋
#小竹向原 #小竹向原駅 #板橋 #板橋区 #小茂根 #向原 #大谷口 #板橋区歯医者 #練馬区歯医者 #歯科医 #歯医者 #歯科#根管治療 #小児歯科 #歯周病 #歯周病専門医 #口腔外科 #予防歯科 #フッ素 #訪問診療 #ホワイトニング #虫歯 #抜歯#良性腫瘍








